Kortikale Nierenzyste Rechts

N28 1 Erworbene Nierenzyste

Interventionelle Sonographie Der Leber Und Der Niere Pdf Document

Basics Sonographie Pdf Free Download

Nierenzyste Diagnose Bosniak Klassifikation Und Therapie

Nierenzysten Eref Thieme
Https Beckassets Blob Core Windows Net Product Readingsample 597276 9783769105124 Excerpt 001 Pdf
Https D Nb Info 1001589165 34
Https Www Tankonyvtar Hu Hu Tartalom Tamop425 0020 Medimedu Orvosbiologiai Gradualis Fejezetek De Orvosi Grad De Pdf

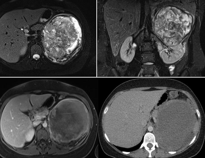
Ct Und Mrt Der Niere Des Retroperitoneums Und Der Harnblase

Innovationen Innovationen 24