Kortikale Dysplasie
Als fcd wird die häufigste gruppe kortikaler malformationen bezeichnetes handelt sich um subtile fokale störungen der entwicklung der großhirnrinde die häufig mit einer epilepsie vergesellschaftet sind. Diagnose durch einen neurologen oder einen epileptologen nach eeg mr scan subdurale elektrokortikographie haustier gehirn.
Https Www Uniklinik Freiburg De Fileadmin Mediapool 07 Kliniken Nch Praechirurgische Epi Pdf Vortragrohsbach Pdf
Läsionen die aus einer störung der normalen kortikalen entwicklung resultieren und umgangssprachlich häufig mit dem begriff kortikale dysplasien zusammengefasst werden sind derzeit neuroradiologisch und neuropathologisch uneinheitlich klassifiziert.
Kortikale dysplasie. Für fokale kortikale dysplasie ist gekennzeichnet durchausgedrückt demonstrativen und manchmal ungewöhnliche phänomene der motor gestural automatismen de novo von der art des markierungszeit pedale gefolgt von anfällen. Eine gängige klassifikation der fokalen kortikalen dysplasien ist die einteilung nach palmini. Umschriebene fo kale kortikale.
Eine von barkovich und mitarbeitern erarbeitete neuroradiologische klassifikation bezieht pathogenetische überlegungen und genetische. Erfolgreiche resektion einer fokalen kortikalen dysplasie fcd der zentralregion bei einem 6 monate alten säugling mit nur sehr milder postoperativer parese. Eine gängige klassifikation der fokalen kortikalen dysplasien ist die einteilung nach palmini.
Klinik bildgebung und der histopathologische befund variieren erheblich sodass sich bislang noch kein international verbindliches klassifikationssystem etablieren konnte. Im folgenden werden die charakteristischen neuropathologischen befunde bei fcd und die zwei. Als fokale kortikale dysplasie abgekürzt häufig als fkd oder auch engl.
Als fokale kortikale dysplasie abgekürzt häufig als fkd oder auch engl. Fokale kortikale dysplasie anomalie der struktur der großhirnrinde auswirkungen auf sein begrenztes gebiet. Das gehirn zustand wie kortikale dysplasie genannt ist eine angeborene geburtsfehler die von abnormen entwicklung des gehirns bei einem ungeborenen kind stammt.
Da kortikalen dysplasie nicht die gleiche verhalten für jedes kind wird der arzt ein individuelles behandlungsplan in jedem fall zu entwickeln. Als fcd wird die häufigste gruppe kortikaler malformationen bezeichnet. Fokale kortikale dysplasien fcd stellen einen häufigen befund bei therapierefraktären epilepsien des kindesalters dar.
By using our website you consent to our use of cookies in accordance with privacy policy as well as our cookie policy. Klinisch manifestiert durch fokale motorische epiphrisken mit bewusstseinsverlust aber nur von kurzer dauer. Es handelt sich um subtile fokale störungen der entwicklung der großhirnrinde die häufig mit einer epilepsie vergesellschaftet sind.
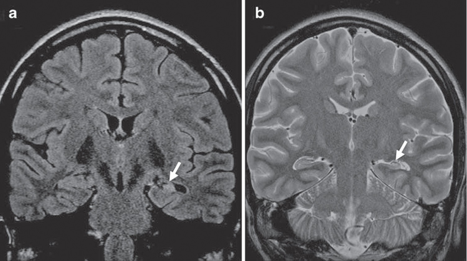
Focal cortical dysplasias fcd represent a heterogeneous group of disorders of cortical formation which may demonstrate both architectural and proliferative featuresthey are one of the most common causes of epilepsy and can be associated with hippocampal sclerosis and cortical glioneuronal neoplasms.

Focal Cortical Dysplasia Congenital Abnormality Ucla Health

Mrt In Der Epilepsiediagnostik Pdf Free Download

Reine Gluckssache Epilepsiechirurgie Und Ihre Chancen Pdf Free
Cortical Dysplasia People

Untersuchungsmethoden
Https Www Zemodi De Documents 01 Stummer Pdf
20 Tesla Mri

Was Ist Machbar Was Ist Sinnvoll Springerlink
Http Epileptologie Bonn De Cms Upload Tag Der Offenen Tr 2007 Tdot Pdf Tdot 2007 Vortrag Sassen Kusczaty Pdf